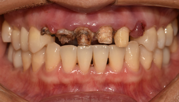
Before

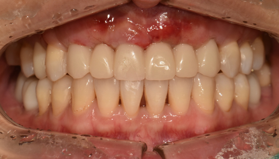
After

| 번호 | 제목 | 글쓴이 | 날짜 | 조회 수 |
|---|---|---|---|---|
| 8 |
치근단 절제술
| admin | 2026.03.02 | 12152 |
| 7 |
[성장기 교정] 치아 총생
| admin | 2026.03.02 | 12179 |
| 6 |
[성장기 교정] 반대교합
| admin | 2026.03.02 | 12142 |
| 5 |
[치아 교정] 설측 교정
| admin | 2026.03.02 | 12124 |
| 4 |
[심미 치료] 치아 형태, 잇몸 라인 개선
| admin | 2026.03.02 | 12125 |
| 3 |
[심미 치료] 라미네이트, 레진 복합
| admin | 2026.03.02 | 12083 |
| » |
[임플란트] 고난이도 잇몸 뼈이식 사례
| admin | 2026.03.02 | 12205 |
| 1 |
치근단 절제술
| admin | 2026.03.02 | 12080 |