실력부터 다릅니다.
치주과 전문의 대표원장 책임진료
진단부터 수술, 사후관리까지
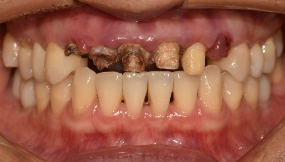
왜 치주과 전문의에게 받아야 하나요?
치주과는 치아 주변조직(잇몸, 잇몸뼈)에 대해 연구하고
치료하는 학문입니다.
각 치아 상태를 평가하여, 종합적인 치료계획을 세우고
임플란트 수술을 담당합니다.

Dears implant
임플란트, 디어스는 다릅니다.
실력부터 다릅니다.
치주과 전문의 대표원장 책임진료
진단부터 수술, 사후관리까지
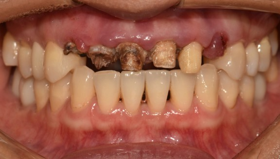
왜 치주과 전문의에게 받아야 하나요?
치주과는 치아 주변조직(잇몸, 잇몸뼈)에 대해 연구하고
치료하는 학문입니다.
각 치아 상태를 평가하여, 종합적인 치료계획을 세우고
임플란트 수술을 담당합니다.






HERI Implant
10년, 20년 후에도 만족도 최상
임플란트 주변 접착제,
임플란트 주위염의 주된 원인입니다.
디아스는 접착제가 없는
나사 유지형 보철물을 사용합니다.

Healthy
접착제가 없어 건강함
Esthetic
잇몸 하방까지 치아 색상으로 심미적
Retrievable
탈착이 쉬워 수리에 용이
방법
시멘트 접착
이물질 끼임
분해 및 수리 어려움
임플란트 염증
가능성 높음
임플란트 탈락
가능성 높음
방법
나사 연결
이물질 끼임
쉽게 분해 및 수리 가능
임플란트 염증
가능성 낮음
임플란트 탈락
가능성 낮음
One Day
임플란트는 수술부터 최종 보철물까지 평균 90일, 원데이 임플란트는 치아 없이 지내는 불편감을 대폭 줄여줄 수 있습니다.
섬세한 수술 실력과 구강스캐너, 디지털 원내 기공센터가 있어야 가능합니다.


임플란트 수술
충분한 잇몸 뼈를 확보하여 초기 고정력을 위한 정교한 수술을 진행합니다.

구강스캐너로 데이터 채득
3D 디지털 구강스캐너를 이용하여 수술 부 손상 없이 정확한 데이터를 채득합니다.

원내 기공소에서 임시 보철물 제작
최종 보철물과 동일한 디자인의 임시 보철물을 당일에 제작합니다.

임시 보철물 연결
수술부 치유에 유리하도록 나사 유지형 보철물로 연결합니다.
Best Equipment
디아스는 재료와 장비에
가성비를 따지지 않습니다.
훌륭한 결과물을 위해 검증된 재료와
최고의 장비만을 사용할 것을 약속드립니다.





